Aurora News October 2025
%20(1).png?width=543&height=100&name=Team%20Aurora%20(9)%20(1).png)
.jpg?width=700&height=700&name=October%20(5).jpg)
Welcome to the October edition of our newsletter, where we bring you the latest updates, team news and achievements of the month to come π
%20(1).png?width=508&height=100&name=Team%20Aurora%20(2)%20(1).png)
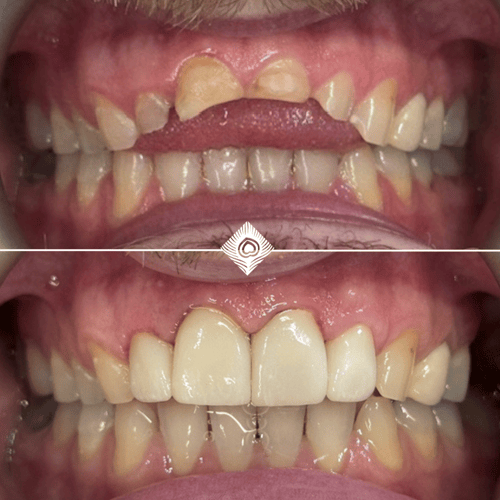
This patient had 4 front crowns placed to restore both the look and strength of their smile.
The results? A natural, confident smile they can be proud of! ππ¦·
Thanks to Dr. Lazzari, this patient can now smile, speak and eat with better function and more confidence β¨
A very warm welcome to Jade π
We are delighted to introduce Jade, who joins Aurora as our new Dental Therapist and will be working across the group ππ» Jade graduated from the University of Portsmouth with a BSc Hons in Dental Hygiene & Dental Therapy and is looking forward to supporting patients on their journey to healthier, happier smiles π

Itβs National Hygiene Month during October π
Did you know? Regular hygiene visits donβt just polish your teeth, they help prevent gum disease, protect against decay and even lower risks linked to heart health π¦·
A fresh, healthy smile starts with great oral hygiene and our team of Dental Hygienists and Therapists are here to support you every step of the way.

Thank you to our lead nurse Emily for her amazing contribution to Aurora over the past 5 years in Swindon π And a special shoutout to Louise, who has been with us for 10 incredible years in Corsham! π

Well done to Emilie and Carl who smashed the Westonbirt 10k with @relishrunningππ»ππ»ββοΈ
We are currently welcoming new patients to our clinics. If you know any family members, friends, or colleagues who are in need of dental services or advice, we would greatly appreciate your recommendation!

"A Dental Experience So Good, It Will Leave You Smiling!"

%20(1).png?width=371&height=100&name=Team%20Aurora%20(3)%20(1).png)
